性氏薄的头像
薄姓
姑娘你薄凉如初
华北珍氏美漱口水全国火热招商,带你月入五位数
神回复为什么人类没有发展出攻击性的器官
旁氏精透纯白水润防晒露
女性打过胎能看得出来吗从这几点不难发现,想瞒住也不那么容易
非遗项目进商场,接地气作品凸显活态传承力
电商助力脱贫攻坚河南卢氏频现爆买
闽风瑞光千文万华中国历代漆器艺术展系列
嗨假期屈层氏柔软洁净化妆棉
念手足情也需谨守君臣礼刘长之死是罪有应得,但汉文帝也有责任
注意你家宝贝肠道健康,究竟是被谁偷走
首大陈潜妇女小儿吞咽困难先排除缺铁性咽下困难
闽风瑞光千文万华中国历代漆器艺术展系列
眼袋整形术后能保持多久眼袋整形价格眼袋整形术多少钱太平洋时尚网专区
女性不孕的原因女性不孕怎么引起的
闽风瑞光千文万华中国历代漆器艺术展系列
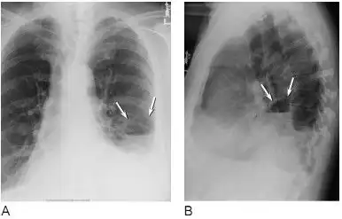
5种肺部感染的影像学鉴别多图
黏膜科
深陷完美主义迫害的你,又渴望勇敢,读一读亲爱的安吉维拉吧
声明:本站所有文章资源内容,如无特殊说明或标注,均为采集网络资源。如若本站内容侵犯了原著者的合法权益,可联系本站删除。


